Non Gamstop CasinosBest Casinos Not On GamstopNon Gamstop CasinoNon Gamstop CasinosCasinos Not On Gamstop

[ Home Page ] [ Site Map ]

Normal Blood and Bone Marrow

The various types of cells found in the peripheral blood are all derived from a common stem-cell, and develop through a process of maturation and proliferation called 'haemopoiesis'. Cells are broadly classified as either myeloid or lymphoid. Myeloid elements include erythrocytes (red-cells), granulocytes and platelets, and normally undergo all stages of maturation in the bone marrow. Monocytes are part of the macrophage lineage, and may develop within the bone marrow, or in other extra-medullary sites. Lymphocytes, both B-cells and T-cells, begin development in the marrow, and then move to lymphoid organs such as spleen, lymph nodes and thymus to complete their development.

A normal blood sample would be expected to contain the following elements:

Red-cells

Leucocytes

Platelets

Although the normal bone marrow contains cells at all stages of development, from the earliest precursor stem-cells to terminally differentiated and functionally mature lymphoid and myeloid cells, the peripheral blood normally only contains mature lymphocytes, granulocytes, red-cells, monocyte/macrophages and platelets.

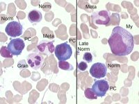
Normal peripheral blood morphology; click to enlarge (26K) Normal bone marrow morphology; click to enlarge (35K)
Normal peripheral blood morphology
Normal bone marrow morphology

Disturbances in the normal balance of leucocytes can occur for a variety of reasons, including diet, infection, and malignant and non-malignant pathology, and persistently raised or decreased leucocyte counts require investigation.

A comprehensive guide to the different blood count indices, together with further details of normal ranges (from an American laboratory), can be found at the following two sources: Interpretation of Lab Test Profiles and Blood Cells and the CBC. Note the caution expressed by the author "Because reference ranges (except for some lipid studies) are typically defined as the range of values of the median 95% of the healthy population, it is unlikely that a given specimen, even from a healthy patient, will show "normal" values for all the tests in a lengthy profile. Therefore, caution should be exercised to prevent overreaction to miscellaneous, mild abnormalities without clinical correlate".

Top of Page


[ Home Page ] [ Site Map ]

Copyright © HMDS 1999-2005
Document last updated: Friday, 14 November 2003

Comments & feedback to: [email protected]


[URL: www.hmds.org.uk/normal.html]

Recommended links