Non Gamstop CasinosBest Casinos Not On GamstopNon Gamstop CasinoNon Gamstop CasinosCasinos Not On Gamstop

[ Home Page ] [ Site Map ]

Extranodal Peripheral T-cell Lymphomas

Peripheral T-cell lymphoma often affect extranodal sites but distinctive forms of primary extranodal T-cell lymphoma are seen in the skin and small intestine. There are very rare variants that affect the liver and spleen and subcutaneous fat and connective tissue.

Cutaneous T-cell Lymphoma

There are two main types of cutaneous T-cell lymphoma although numerous rare variants are described.

Mycosis Fungoides

Clinical Presentation

Laboratory Diagnosis

Mycosis fungoides: epidermal infiltration
Mycosis fungoides: upper-dermal infiltration

Treatment and Outcome

Top of Page


Lymphomatoid Papulosis and CD30+ Cutaneous Lymphoma

These two conditions are part of a spectrum of disease characterised by large CD30+ tumour cells.

Clinical Features

Laboratory Diagnosis

Lymphomatoid papulosis - high power skin section; click to enlarge (35K)
CD30 immunoperoxidase stain
Lymphomatoid papulosis skin section

Treatment and Outcome

Top of Page


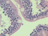
Small Intestinal T-cell Lymphoma

Clinical Features

Laboratory Diagnosis

Morphology

Intestinal T-cell lymphoma; click to enlarge (31K) Intestinal T-cell lymphoma - CD7-immunoperoxidase; click to enlarge (33K)
Intestinal T-cell lymphoma
Intestinal T-cell lymphoma: CD7-immunoperoxidase staining.

Immunophenotype

Treatment and Prognosis

Top of Page


[ Home Page ] [ Site Map ]

Copyright © HMDS 1999-2005
Document last updated: Tuesday, 18 November 2003

Comments & feedback to: [email protected]


[URL: www.hmds.org.uk/exnodal.html]

Recommended links